Håndtering af mulig graviditet udenfor livmoderen (EUG/PUL)
Praksisjordemoder · Intern klinisk instruks
Målgruppe: Klinisk personale ved Praksisjordemoder
Anvendelsesområde: Alle tre klinikker
Erstatter version: 1.0 (november 2025)
Tidligere versioner
Afgrænsning og håndtering hos Praksisjordemoder
Plan ud fra scanningsfund og anamnese
Scanningsfund: Sikker EUG med og uden symptomer:
Henvises direkte ved kontakt til gynækologisk afdeling.
Scanningsfund: Sandsynlig EUG
Ingen smerter
Indtil 5+6: Ses an med tilbud om rescanning til reduceret pris ved GA 6+3.
6+0-6+2: Henvises til gynækologisk afdeling ved risiikofatorer for EUG ellers anbefales genscanning ved 6+3.
Risikofaktorer for EUG:
- Tidligere EUG
- Underlivsbetændelse (fx klamydia),
- Operationer i æggelederne
- Endometriose
- Assisteret reproduktion (IVF/insemination)
6+3 og frem: Henvises til gynækologisk afdeling. Resultat kan være at vi starter p-HCG, men kun efter konf.
Smerter
Indtil 5+6: konf. gynækologisk afdeling.
6+0 og frem: Henvises til gynækologisk afdeling
Scanningsfund: PUL – pregnacy og unknown location – graviditet med ukendt placering
Ingen smerter måske let blødning
Indtil 5+6: Ses an med tilbud om rescanning til reduceret pris ved GA 6+3 (da man i praksis først kan tale om PUL efter 5+6).
6+0-6+2: Henvises ved risiikofatorer for EUG til gynækologisk afdeling ellers anbefales genscanning ved 6+3.
Risikofaktorer for EUG:
- Tidligere EUG
- Underlivsbetændelse (fx klamydia),
- Operationer i æggelederne
- Endometriose
- Assisteret reproduktion (IVF/insemination)
6+3 og frem: Henvises til gynækologisk afdeling. Resultat kan være at vi starter p-HCG, men kun efter konf.
Smerter evt blødning
Indtil 5+6: konf. gynækologisk afdeling.
6+0 og frem: Henvises til gynækologisk afdeling
Frisk vaginal blødning uden smerter
Konf. gynækologisk afdeling.
Scanningsfund: Sandsynlig graviditet i livmoderen
Ingen smerter måske let blødning
Indtil 6+2: Ses an med tilbud om rescanning ved GA 6+3 til reduceret pris.
6+3 og frem: Henvises til gynækologisk afdeling. Resultat kan være at vi starter p-HCG, men kun efter konf.
Smerter
Indtil 5+6: konf. gynækologisk afdeling.
6+0 og frem: Henvises til gynækologisk afdeling
OBS
Pseudogestationssæk: Ultralydsfund som ses ved 10-20 % af ekstrauterine graviditeter. Ses som lille opklaring, typisk dårligt afgrænset, ligger ofte midt i kaviteten. Håndteres som PUL.
Scanningsfund: Graviditet i livmoderen
Når der er set både intrauterin gestationssæk + blommesæt eller intrauterint gestationssæk med fosteranlæg er der tale om sikker intrauterin graviditet. Ved tom gestationssæk ≥25 mm, kan diagnosen blighted ovum umiddelbart stilles.
Normal graviditet i livmoderen:
Ses an.
Tilgrundegået graviditet i livmoderen
Henvises til gynækologisk afdeling.
Kriterier for tilgrundegået graviditet i livmoderen
- Foster med CRL ≥ 7 mm uden hjerteaktion
- Tidligere UL-verificeret levende graviditet med FHR der ved ny UL findes uden hjerteaktion.
- Ved tom GS over 25 mm (blighted ovum obs) vil 0,5% udvikle sig til normal graviditet – her kan der henvises til gyn.
- Tom gestationssæk på mindst 13mm som ikke vokser over en uge
- Foster med CRL <6mm uden hjerteaktion og manglende vækst over 1 uge.
OBS
Pseudogestationssæk: Ultralydsfund som ses ved 10-20 % af ekstrauterine graviditeter. Ses som lille opklaring, typisk dårligt afgrænset, ligger ofte midt i kaviteten.
Værktøj til beslutningsstøtte
Få forslag til plan ud fra anamnese og scanningsfund
Alle graviditeter starter som PUL - graviditet med ukendt lokation - pregnancy of unkown lokation (PUL). I denne artikel definerer vi de forskellige begreber og forklarer tilstande og hvordan situationer bliver håndteret hos praksisjordemoder.
Definitioner
Skelnen mellem tilstandene er vigtig, da de alle behandles forskelligt.
Abortus imminens: Blødning i første trimester. Udelukkende en deskriptiv diagnose, der bruges indtil nærmere diagnostik er foretaget.
PUL = pregnancy of unknow location: Her ses positiv urin- og/eller s-hcg, samtidig med at der hverken er synlig intra- eller extrauterin graviditet.
Abortus spontaneus: Her ses frisk vaginalblødning samt positiv urin- og/eller s-hcg + tilgrundegået intrauterin graviditet. Intrauterin graviditet kan evt. være påvist ved ultralyd tidligere i forløbet.
- Komplet spontan abort: Som ovenstående, men uden synlig gestationssæk.
- Inkomplet spontan abort: Der ses gestationssæk eller placentarester.
Missed abortion: Ingen eller meget svag vaginalblødning samt positiv urin- og/eller s-hcg + tilgrundegået intrauterin graviditet.
Blighted ovum: Som missed abortion, men med tom gestationssæk ≥25 mm .
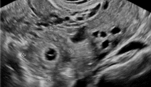
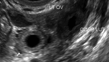
Ekstrauterin graviditet: Ved UL synlig graviditet udenfor livmoderhulen, +/- fri væske
Pregnancy of unknown location (PUL)
- Definition: PUL betegner en tilstand, hvor graviditetstesten er positiv, men der kan ikke påvises intrauterin eller ekstrauterin graviditet ved transvaginal ultralydsskanning. PUL er kun er et ultralyds‑klassifikationsord; det er ikke en endelig diagnose.
- Mulige udfald: En PUL kan vise sig at være en tidlig intrauterin graviditet (viabel eller ikke‑viabel), en graviditet uden for livmoderen (ektopisk) eller et tidligt graviditetstab.
- Årsagen til PUL: Hyppigheden af PUL stiger betydeligt, når man anvender meget følsomme graviditetstests og udfører ultralyd tidligt. En systematisk oversigt (Fetal Medicine Barcelona) bemærker, at hyppigheden er højest ved tidlig ultralyd eller ringe scanningskvalitet fetalmedicinebarcelona.org.
- Klassifikation: Nedenstående kan bruges som klassifination ved tidlige scanninger.
Mulige fund ved tidlig scanning
Definitiv ektopisk graviditet
Ekstracavitær gestationssæk med blommesæk/embryon.
På dansk: Sikker graviditet synlig udenfor livmoderen ved scanning.


Sandsynlig ektopisk graviditet
Inhomogent adnexalt ("blob") eller ekstracavitært tomt sæk‑lignende strukturer, fri væske.
På dansk: Mulig men ikke sikker graviditet udenfor livmoderen.


PUL
Ingen tegn på intrauterin eller ektopisk graviditet på ultralyd
På dansk: Ingen synlig graviditet i livmoderen eller udenfor livmoderen.


Sandsynlig intrauterin graviditet
Intrauterin echogen sæk‑lignende struktur. På dansk: Fund i livmoderen som kan være graviditet men ikke helt sikkert.
Man står ikke sjældent i den situation, at der ikke foreligger en s-hCG hos en ønsket gravid kvinde som bløder. Her kan man lade sig vejlede af følgende forhold:
1. Når en normal graviditet er fulde 5 uger, skal man kunne identificere en gestationssæk på mindst 4mm ved UL. Bemærk dog, at menostasilængden kan være et usikkert mål.
2. Det samme gælder, hvis s-hCG er >1500 U/l.
3. Når en normal graviditet er 6 uger, skal man ved UL normalt se en gestationssæk på mindst 8mm og en blommesæk og sædvanligvis et foster med CRL på mindst 3mm.
4. Når et foster er 6mm i CRL skal man kunne se hjerteaktion.
5. Hvis man er i tvivl skal man konferere med speciallæge. Man står sig ofte ved at kontrollere pt. nogle dage senere i tvivlstilfælde.


Definitiv intrauterin graviditet
intrauterin gestationssæk med blommesæk/embryon
På dansk: Sikkert fund af graviditet i livmoderen.


Hvor tidligt er PUL relevant?
Scanning: milepæle i tidlig graviditet
Transvaginal ultralyd kan først visualisere graviditeten nogle uger efter konception. I en oversigt over PUL anføres følgende sonografiske milepæle:
| Sonografisk struktur | Gestationsalder (cirka) | Kilde |
|---|---|---|
| Gestationssæk | 4,5–5 uger | Tidlig intrauterin gestationssæk ses typisk ved 4,5–5 uger. |
| Blommesæk | ≈ 5 uger | Den ringformede blommesæk kan ses i gestationssækken omkring 5 uger. |
| Føtal hjerteaktivitet | 5,5–6 uger | Hjerteaktivitet fremkommer normalt mellem 5,5 og 6 uger. |
Hvis en kvinde undersøges før disse strukturer er synlige, vil der ofte foreligge en PUL. Derfor er PUL et forventet fund ved ultralyd meget tidligt i graviditeten.
Tidspunkt i forhold til sidste menstruation
Den nyeste kliniske anbefaling fra Society of Family Planning (SFP) (2025) bemærker, at en PUL kan være et forventet fund 35 dage eller mindre efter sikker sidste menstruations første dag societyfp.org. Guidelinen påpeger, at de fleste PUL’er senere viser sig at være intrauterine graviditeter (med eller uden hjerteaktivitet) eller tidlige graviditetstab, mens 6–27 % ender som ektopisk graviditet societyfp.org.
Undgå for tidlig ultralyd
Flere europæiske vejledninger anbefaler, at man ikke udfører systematisk transvaginal ultralyd inden uge 5, medmindre der er klare risikofaktorer for ektopisk graviditet.
Fetal Medicine Barcelona beskriver, at i stabile patienter med mild symptomatologi (let mavesmerte og mindre blødning) anbefales det ikke at lave transvaginal ultralyd før 5 graviditetsuger fetalmedicinebarcelona.org. Denne anbefaling begrundes med den lave prævalens af ektopisk graviditet (ca. 2,3 %) og risikoen for unødigt at skabe usikkerhed ved et PUL-fund.
Ultralydsundersøgelse i tidlig graviditet
Fremgangsmåde
Ultralydsskanning i tidlig graviditet bør foretages vaginalt og omfatte vurdering af:
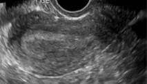
Uterus med undersøgelse af cervix og kaviteten. Ved en intrauterin gestationssæk (GS) skal størrelse og indhold beskrives. Beskrivelse af blommesæk, foster, fetal heart rate (FHR) og crown rump length (CRL). Ses der ingen GS skal endometriets tykkelse og udseende beskrives og formulering som ”tom uterus” bør undgås
Adnexa beskrives mhp ekstrauterin graviditet, såfremt der ikke findes sikker intrauterin gestationssæk. Er corpus luteum til stede?
Fri væske i fossa Douglasi. Prøv at beskriv mængde ved mål eller hvor højt på uterus væsken går.
Normale ultralydsfund i tidlig graviditet
Gestationssæk
Ekkotom, sfærisk struktur omgivet af tyk hyperekkoisk dobbelt ring repræsenterende decidua. Ligger ofte excentrisk i forhold til midtlinien.
Gestationssækken måles ved gennemsnit af minimum 2 diametre af det ekkotomme område vinkelret på hinanden, optimalt medtages diameteren i tværplanet vinkelret herpå.
- GS ses fra dag 33-37 (uge 4+5-5+2)
- Når GS er 10 mm ses blommesæk (som oftest)
- Når GS er 13 mm ses fosterekko (som oftest)
- Når GS er 19 mm ses fosterhjerteblink (som oftest)
Gestationssæk bør ses ved serum-hcg på >2000. (IVF-gravide >2500)
| GS mm | Uger foster | Foster synligt | Hjertepulsation |
|---|---|---|---|
| 2 | 4+3–4 | Nej | Nej |
| 5 | 5+0 | Nej | Nej |
| 10 | 5+5 | (Ja) | (Ja) |
| 15 | 6+3 | Ja | Ja |
| 20 | 7+1 | Ja | Ja |
Blommesæk (BS):
Blommesækken ligger i gestationssækken og ses som en sfærisk struktur med ekkotom opklaring.
BS forsvinder ofte efter 10. uge.
Tilstedeværelse af BS konfirmerer intrauterin graviditet.
BS konstateres fra 38-40 dag (uge 5+3-5+5).
Embryo:
Fosteret ses først som en hyperekkoisk lineær struktur. I starten antager det en C-form, men er fra 8.-9. uge rettet mere ud, og det er muligt at måle et egentligt crown-rump mål (CRL= crown rump length).
CRL måles optimalt med foster i hvileposition i saggital plan, fra ydre kant af fosterets cephale pol til den ydre kant af fosterets caudale pol.
- Fosteret ses i 6.-7. uge
- Fosteret ses når GS er 13 mm
- Fosteret vokser ca. 1 mm/dag
- Fosterhjerteaktivitet ses sikkert når CRL > 5 mm
Gestationsalder bedømt ved ultralydsskanning er afhængig af målenøjagtighed og den anvendte formel ved opsætning af skanneren. DSOG’s ultralydsgruppe anbefaler i sine biometri guidelines fra 2001 Wisser/Tunon’s formel. Denne formel ligger til grund for nedenstående tabel.
| CRL | GA | CRL | GA | CRL | GA |
|---|---|---|---|---|---|
| 2 | 5+5 | 18 | 8+3 | 34 | 10+3 |
| 3 | 6+0 | 19 | 8+4 | 35 | 10+3 |
| 4 | 6+1 | 20 | 8+5 | 36 | 10+4 |
| 5 | 6+2 | 21 | 8+6 | 37 | 10+5 |
| 6 | 6+4 | 22 | 9+0 | 38 | 10+5 |
| 7 | 6+5 | 23 | 9+1 | 39 | 10+6 |
| 8 | 6+6 | 24 | 9+2 | 40 | 11+0 |
| 9 | 7+0 | 25 | 9+3 | 41 | 11+0 |
| 10 | 7+2 | 26 | 9+4 | 42 | 11+1 |
| 11 | 7+3 | 27 | 9+4 | 43 | 11+2 |
| 12 | 7+4 | 28 | 9+5 | 44 | 11+2 |
| 13 | 7+5 | 29 | 9+6 | 45 | 11+3 |
| 14 | 7+6 | 30 | 10+0 | 46 | 11+3 |
| 15 | 8+0 | 31 | 10+1 | 47 | 11+4 |
| 16 | 8+1 | 32 | 10+1 | 48 | 11+4 |
| 17 | 8+2 | 33 | 10+2 | 49 | 11+5 |
Fra uge 12+0 anvendes BPD til beregning af GA.
Sammenfatning
- PUL er en ultralyds‑klassifikation – ikke en diagnose – anvendt når graviditetstesten er positiv, men ingen graviditet kan visualiseres på transvaginal ultralyd. Kvinder med PUL kan senere vise sig at have en normal intrauterin graviditet, en graviditetstab eller en ektopisk graviditet cmaj.ca. Og med tidligere scanninger vil sandsynligheden for PUL stige.
- Tidlig ultralyd (<4,5–5 uger) medfører ofte PUL, fordi gestationssæk først ses ved 4,5–5 uger, blommesæk ved ~5 uger og hjerteaktivitet ved 5,5–6 uger.
- Kliniske vejledninger anbefaler derfor at undgå ultralyd før uge 5, medmindre der er symptomer eller risikofaktorer. Fetal Medicine Barcelona anbefaler ikke transvaginal ultralyd hos milde patienter før 5 uger fetalmedicinebarcelona.org, og SFP angiver at PUL er et forventet fund inden 35 dage (≈5 uger) fra sidste menstruation societyfp.org.
- Ingen international guideline fastsætter en absolut gestationsugegrænse for definitionen, men både SFP og europæiske guidelines knytter PUL til tidlige ultralydsundersøgelser (<5–6 uger). Efter denne periode bør en intrauterin sæk kunne ses; fravær heraf ved passende hCG‑niveauer kræver tæt opfølgning og udredning for ektopisk graviditet.
LINKS
Ultralyd i tidlig gravidtet, Nordsjællands Hospital
Ultralydsundersøgelse i tidlig graviditet; Herlev Gentofte
Tidlige graviditets komplikationer, inkl. abortus imminens og missed abortion, Herlev Gentofte
trimester graviditetstab, Amager Hvidovre
Abortus imminens, missed abortion og spontan abort op til 14 uger, RH



