(6+0 til 6+6)
Indholdsfortegnelse


Små arme og ben tager form
Embryoet er nu omkring 1 cm langt. Arm- og benknopper bliver tydeligere, og vigtige organer som lever og mave begynder at dannes. Navlestrengen fungerer nu og transporterer næring og affaldsstoffer mellem dig og barnet.
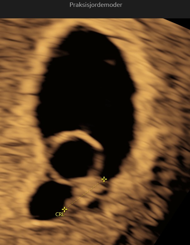
Uge 7: Embryoets Udvikling
I uge 7 er din lille baby omkring 1,1 cm langt, omtrent på størrelse med et blåbær. Der sker mange vigtige udviklinger denne uge:
Hjerne og Nervesystem: Hjernen vokser hurtigt, og der dannes primære hjerneanlæg. Nervesystemet er i fuld gang med at udvikle sig og begynder at sende de første nerveimpulser.
Ansigtstræk: Embryoets ansigt begynder at tage form. Små næsebor dannes, og linsen i øjet begynder at udvikle sig. Ørerne begynder at forme sig som små folder på hver side af hovedet.
Lemmer: Arm- og benknopper bliver længere, og små finger- og tåanlæg begynder at danne sig. De ligner små padleformede udvækster på dette stadie.
Organudvikling: Hjertet er nu opdelt i højre og venstre kammer og slår i en jævn rytme. Lunger, tarm og nyrer fortsætter med at udvikle sig. Leveren begynder at danne røde blodlegemer.




Hvad sker der i din krop?
I uge 7 kan du opleve flere forandringer, som kan indikere, at din krop tilpasser sig graviditeten:
- Træthed: Din krop arbejder hårdt for at støtte embryoets hurtige vækst, og du kan derfor føle dig mere træt end normalt. Det er vigtigt at hvile og tage tingene roligt.
- Kvalme og Opkast: Morgenkvalme kan være på sit højeste nu. Denne kvalme kan faktisk opstå på alle tider af dagen og skyldes de stigende hormonniveauer.
- Følsomme Bryster: Dine bryster kan føles ømme og hævede på grund af hormonelle ændringer. Det kan være tid til at investere i en støttende graviditets-bh.
- Hyppig Vandladning: Din voksende livmoder presser på din blære, hvilket kan betyde, at du skal tisse oftere end normalt.
- Humørsvingninger: Hormonelle forandringer kan forårsage følelsesmæssige op- og nedture. Det er helt normalt at opleve humørsvingninger i denne tid.
- Murren i underlivet: Din livmoder vokser og retter sig ud, det mærkes som lette menstruationssmerter/murren og er helt normalt.
Samspillet mellem Mor og Embryo i Uge 7
Følelsesmæssig Forbindelse: Du kan begynde at føle en stærkere følelsesmæssig forbindelse til dit voksende embryo, efterhånden som du bliver mere bevidst om graviditeten og de ændringer, der sker i din krop.
Hormonal Kommunikation: Hormoner som hCG, østrogen og progesteron fortsætter med at stige og sender vigtige signaler til din krop for at understøtte graviditeten. Disse hormoner forhindrer også menstruation og understøtter udviklingen af moderkagen.
Næringsudveksling: Moderkagen begynder at overtage produktionen af nogle af de vigtige hormoner, og din krop arbejder på at sikre, at embryoet får de nødvendige næringsstoffer og ilt gennem moderkagen og navlestrengen.
Immunsystem: Din krop fortsætter med at tilpasse sig immunologisk for at beskytte embryoet. Din immunsystembalancerer mellem at beskytte dig mod infektioner og ikke angribe embryoet, som genetisk set er halvt fremmed.
Råd og Opmærksomhed
- Sund Kost: Fortsæt med at spise en varieret og næringsrig kost, der støtter både din og dit embryos sundhed. Vælg fødevarer rige på vitaminer, mineraler og folsyre. Husk at det er vigtigere at få spist end at følge anbefalingerne hvis du er ramt af kvalme så gælder det om blot at få spist noget, og når kvalmen letter kan du bedre følge anbefalingerne.
- Graviditetsvitaminer: Husk at tage dine graviditetsvitaminer dagligt for at sikre, at du får de nødvendige næringsstoffer.
- Hvile og Omsorg: Lyt til din krop og sørg for at hvile, når du har brug for det. Træthed er almindelig i første trimester, og det er vigtigt at give dig selv tid til at slappe af.
- Søg Lægehjælp ved Bekymringer: Hvis du oplever kraftige smerter, blødning eller andre bekymrende symptomer, skal du kontakte din læge. De er der for at støtte dig gennem hele graviditeten.
Graviditet er en tid fyldt med forandringer og forventning. Hver uge bringer nye udviklinger for både dig og din baby, og det er en fantastisk rejse at følge. Husk at tage dig tid til at passe på dig selv og nyd denne specielle tid. Hvis du har spørgsmål eller bekymringer, er din læge eller jordemoder der for at støtte dig gennem denne vidunderlige proces.
Præsentation af forfatterne


Solveig Thagaard Pedersen, jordemoder
Solveig er autoriseret jordemoder og medstifter af Praksisjordemoder.dk. Hun blev uddannet i København i 2010 og har assisteret ved mere end 500 fødsler gennem sin tid på Rigshospitalet og Herlev Hospital. Solveig har siden arbejdet i fertilitetsklinik og siden 2019 i lægepraksis med speciale i kvinders reproduktive sundhed.
Hun er drevet af at skabe trygge rum og meningsfulde møder for alle kvinder – og brænder særligt for rådgivning om prævention, graviditet og kvindens hormonelle liv. Hun står bag idéen og visionen i Praksisjordemoder.dk, hvor jordemoderfaglighed og praksis samarbejder om at tilbyde fagligt stærke og nærværende ydelser.
“Hver ting til sin tid – og det er dit valg”
— Solveig Thagaard Pedersen


Alexander Tetzlaff, Speciallæge i almen medicin
Alexander er speciallæge i almen medicin og administrerende partner i Praksissamarbejde P/S. Med over 14 års erfaring som praktiserende læge har han opbygget en solid ekspertise inden for både diagnostik og helhedsorienteret patientpleje – særligt i relation til kvindesundhed.
Han har været blandt de første i Danmark til at indføre ultralydsscanning i almen praksis, og hans klinik Lægerne på Strøget har siden været pionerer inden for diagnostisk anvendelse af ultralyd i primærsektoren.
Alexander arbejder målrettet for at gøre faglighed og tilgængelige sundhedstilbud til en naturlig del af hverdagen – og brænder især for at skabe trygge og kvalificerede rammer for kvinder gennem hele livet.
“Kvindesundhed kræver specialisering – også i almen praksis”
— Alexander Tetzlaff
Læs mere om graviditet
Hvilken uge er vi i? | Blødning i graviditeten | Bækkenforandringer i din graviditet | Sovestillinger i graviditeten | Jern og blodprocent under graviditet | Halsbrand og sure opstød under graviditeten | Det gravide bækken | Bækkenstabiliserende øvelser til gravide | Vacciner til gravide | Hovedpinepiller i graviditeten | Naturlig igangsættelse af fødslen | Kosttilskud til gravide


