Her får du et realistisk indblik i, hvad man typisk kan se ved ultralydsscanning i de forskellige uger af graviditeten – fra de første tegn på graviditet og eventuelt hjerteblink i de tidlige uger til mere detaljeret udvikling senere i forløbet.
Beskrivelserne bygger på klinisk erfaring og viser eksempler fra praksis – ikke diagnostiske vurderinger. Rutine-ultralydsscanninger tilbydes af sundhedsvæsenet på bestemte tidspunkter i graviditeten.
- Eksempler på ultralydsbilleder uge for uge
- Hvad kan man se i uge 6, 7 og 8?
- Realistiske billeder fra klinisk praksis
- Fagligt funderet forklaring
Mange gravide er nysgerrige på, hvad man kan se ved ultralydsscanning i de forskellige uger af graviditeten. Udviklingen sker hurtigt – og forskellen fra uge 6 til uge 8 kan være markant.
Her gennemgår vi uge for uge, hvad man typisk kan se ved en ultralydsscanning. Fra de første tegn på graviditet og eventuelt hjerteblink i de tidlige uger til mere detaljeret udvikling senere i graviditeten.
Billeder og videoer her på siden stammer fra klinisk praksis og giver et realistisk indtryk af, hvad man kan forvente at se.
Er du i tvivl om, hvilken scanning der passer nu?
Brug overblikket til at se, hvad der kan bookes i din uge – fra tidlig scanning til kønsscanning, 3D/4D og op/ned-scanning.
Se scanningsoverblik →Vigtigt at vide: Tidspunkterne er vejledende, og hvad man kan se ved ultralyd varierer fra graviditet til graviditet. Fosterets stilling, mængden af fostervand og den gravides anatomi spiller alle en rolle.
Ultralyd uge 6 – kan man se hjerteblink?
I uge 6 kan man ofte se gestationssæk, blommesæk, et lille fosteranlæg og i nogle tilfælde begyndende hjerteblink. Det er dog ikke altid muligt at se tydeligt hjerteblink i uge 6 – det afhænger af hvor langt man præcist er henne, og hvordan graviditeten ligger. Hvis man ikke ser hjerteblink i uge 6, anbefales det ofte at vente en uge og scanne igen.
👉 Ønsker du en tidlig scanning i uge 6–8, kan du læse mere om tidlig scanning her.


Tidlig scanning uge 6 – foster i livmoderen


Tidlig scanning uge 5–6 – blommesæk i livmoderen
Eksempel på ultralyd i uge 5–6. Det er normalt, at ikke alle strukturer kan ses på dette tidspunkt.
Nogle gange giver korte ultralydssekvenser et bedre indtryk end stillbilleder alene.
Kort ultralydssekvens fra uge 6 hvor der kan ses blommesæk og tidligt fosteranlæg.
Er du i tvivl om, hvor langt du er henne?
Hvis du er usikker på graviditetsuge eller termin, kan du beregne det hurtigt og se, hvilke scanninger der typisk passer til din uge.
Beregn termin og graviditetsuge →Ultralyd uge 7 – tydeligere hjerteblink
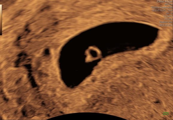
I uge 7 ses fosteret oftest tydeligere, og hjerteblink kan som regel registreres. Man kan typisk se tydeligt fosteranlæg, aktivt hjerteblink og måling af CRL (crown-rump length). For mange giver uge 7-scanning en stor tryghed, fordi hjertets aktivitet kan bekræftes.
Ultralyd uge 8 – hurtig udvikling
I uge 8 ses en markant udvikling: hoved og kropsform bliver tydeligere, små bevægelser kan forekomme, og hjerteblink ses som regel klart. I denne periode er det ofte muligt at fastsætte terminen mere præcist.


Ultralydsscanning uge 7 – hjerteblink


Ultralydsscanning uge 8 – lille foster i livmoderen
Eksempel på ultralyd i uge 7–8. Hjerteblink kan ofte ses, men synligheden varierer.
I denne periode kan bevægelse ofte ses tydeligere på video end på stillbilleder.
Kort ultralydssekvens fra uge 7, hvor hjerteaktivitet og tidlig bevægelse kan ses.
Ultralyd i uge 9–10
I denne periode vokser fosteret hurtigt. Ved ultralyd kan man typisk se et mere genkendeligt foster med hoved og krop, bevægelser (selvom de endnu ikke mærkes) og tydelig hjerteaktivitet. Fosteret er stadig lille, men proportionerne begynder at ændre sig, og billedet bliver mere detaljeret.


Ultralydsscanning uge 10 – foster med hoved og krop


Ultralydsscanning uge 9 – foster
Ultralyd i uge 9–10. Fosteret er mere tydeligt, men detaljer kan stadig variere.
Kort ultralydssekvens fra uge 10 – foster i profil med hjerte som slår. Meget livlig.
Ultralyd uge 12 – mere detaljeret anatomi
Omkring uge 12 er fosteret tydeligt udviklet. Man kan typisk se:
- Nakkefold (ved relevant scanning)
- Arme og ben
- Bevægelser
- Tydeligere kropsform og proportioner
Mange vælger scanning i forbindelse med risikovurdering, fx nakkefoldsscanning, hvis man ønsker det. Billedkvaliteten er ofte god, men fosteret er stadig relativt lille.


Ultralydsscanning uge 11


Ultralydsscanning uge 11 – aktivt foster
Eksempel på ultralyd i uge 11–13. Fosterets bevægelser kan ofte ses tydeligt.
Kort ultralydssekvens fra uge 11, hvor fosterets bevægelser kan ses.
Ultralyd i uge 14–17
Fra omkring uge 14 begynder mange at interessere sig for barnets køn. Ved ultralyd kan man ofte vurdere køn hvis barnet ligger hensigtsmæssigt, se tydeligere kropsstruktur og følge bevægelser mere klart. Kønsbestemmelse er aldrig 100% sikker og afhænger af fosterets stilling og billedforhold.
👉 Læs mere om tryghedsscanning fra uge 14+0 →
Kan man se køn nu?
Er du i uge 12, 13 eller 14 og i tvivl om timingen? Brug vores vurdering og se, om det er for tidligt, måske muligt eller et godt tidspunkt.
Tjek om det er tid til kønsscanning →

Ultralydsscanning uge 14 – foster med fingre


Ultralydsscanning uge 14 – foster i profil
Midt i graviditeten bliver barnet større, og ultralydsbilleder viser ofte tydeligere bevægelser, kropsform og ansigt i profil. I denne periode kan kønnet ofte vurderes, hvis man ønsker det.
Ultralydsvideo fra uge 14, hvor fosterets bevægelser og hjerteaktivitet kan ses. Videoen er vejledende og ikke diagnostisk.
Kønsscanning
Fra ca. uge 14 kan køn ofte vurderes, hvis barnet ligger hensigtsmæssigt. Læs mere og book.
Læs mere →
Ultralyd i uge 18–21
I denne periode udføres den store gennemgang af barnets anatomi i det offentlige. Ved ultralyd kan man typisk se organer og kropsdele mere detaljeret, rygrad, mave, blære og ekstremiteter samt barnets generelle trivsel. Fosteret fylder nu mere på skærmen, og det er ofte muligt at få meget klare billeder.


Ultralyd uge 18 – ansigt i profil


Ultralyd uge 18 – rygsøjle i længdesnit
Ultralyd i uge 18. Det er normalt at man kun ser dele af barnet ad gangen.
Kort ultralydssekvens fra uge 18 – baby i profil med hjerte som slår. Til sidst drejer han hovedet og kigger på os.
Ultralyd i midten af graviditeten
Omkring uge 26 er mange gravide særligt interesserede i 3D/4D-scanning. Her er ansigtstræk mere udviklede, kinder, næse og mund tydeligere, og mimik og bevægelser er ofte synlige i 3D/4D. Betingelserne for gode 3D-billeder afhænger af barnets stilling og mængden af fostervand.


Ultralyd uge 25 – baby i profil


3D-billeder afhænger af barnets placering og pladsforholdene i livmoderen
Ultralyd i midten af graviditeten. Det er normalt at man kun ser dele af barnet ad gangen.
Kort ultralydssekvens fra uge 28 – baby i profil med hjerte som slår.
3D/4D-scanning
Populær omkring uge 26–30, hvor ansigtstræk ofte er mere tydelige. Læs mere og book.
Læs mere →
Ultralyd i sen graviditet
I tredje trimester fokuserer ultralyd ofte på barnets vækst og trivsel, fostervandsmængde og barnets placering i livmoderen. Barnet fylder nu meget, og man kan sjældent se hele barnet på ét billede. Det er helt normalt og betyder ikke at billedkvaliteten er dårlig.


Ultralydsscanning uge 30 – ansigt i profil


3D-scanning uge 30 – baby ansigt
Ultralyd i sen graviditet. Det er normalt at man kun ser dele af barnet ad gangen.
3D-ultralyd omkring uge 30 giver ofte et første indtryk af barnets ansigtstræk. Kinder, næse og mund kan være synlige, men billedets udtryk afhænger i høj grad af barnets stilling.
Sen tryghedsscanning
Ekstra ro senere i graviditeten med fokus på trivsel og forholdene omkring barnet.
Læs mere →
Ultralyd omkring termin
Omkring uge 37 bruges ultralyd ofte til at vurdere barnets lejring (hovedstilling eller sædestilling) og give vigtig viden op mod fødslen. Denne scanning kaldes ofte en op/ned-scanning og kan give ro og overblik i den sidste del af graviditeten.


Ultralydsscanning uge 37 – fokus på lejring


Ultralydsscanning uge 37 – ansigt i profil
Ultralyd i sen graviditet. Det er normalt at man kun ser dele af barnet ad gangen.
Ultralyd i uge 37 bruges ofte til at vurdere, hvordan barnet ligger i livmoderen før fødslen. Videoen er vejledende – ikke diagnostisk.
Op/ned-scanning
Omkring uge 37 vurderes hvordan barnet ligger inden fødslen. Læs mere og book her.
Læs mere →
Vigtigt at huske: Ultralydsbilleder varierer fra gravid til gravid. Fosterets stilling, mængden af fostervand og den gravides anatomi spiller alle en rolle for, hvad man kan se. De viste eksempler er vejledende og ikke et løfte om bestemte billeder.
Vil du følge hele graviditeten uge for uge?
Læs også vores gennemgang af, hvad der sker i din krop og barnets udvikling – uge for uge.
Se graviditet uge for uge →🌿 Jordemoderens råd
Billeder fra ultralyd ser meget forskellige ud – og det kan give bekymring hvis man sammenligner med billeder man finder online. Husk at ultralydsbilleder afhænger enormt meget af barnets stilling, graviditetsuge og den tekniske opsætning. Et “uklart” billede er ikke det samme som et dårligt fund.
Hvis du er i tvivl om noget du har set ved en scanning, så spørg den der scanner dig. Vi er der for at forklare – ikke bare vise billeder.
– Solveig, Praksisjordemoder
FAQ – Ofte stillede spørgsmål om ultralyd uge for uge
I de tidligste uger (uge 5–6) kan man ofte se en graviditetssæk og eventuelt en blommesæk. Det er helt normalt, at fosteranlæg og hjerteaktivitet endnu ikke er synligt så tidligt i graviditeten.
Hjerteaktivitet ses ofte fra omkring uge 6–7, men tidspunktet varierer. Manglende hjerteblink ved meget tidlig scanning betyder ikke nødvendigvis, at noget er galt.
Nej. Ultralydsbilleder varierer fra graviditet til graviditet. Forskelle i fosterets placering, mængden af fostervand og graviditetsuge har stor betydning for, hvad man kan se.
Nej. Især senere i graviditeten fylder barnet mere i livmoderen, og man vil ofte kun kunne se dele af barnet – fx ansigt, hænder eller fødder – ad gangen.
Nej. Et uklart eller begrænset billede skyldes oftest barnets position eller tekniske forhold og er ikke i sig selv et tegn på, at der er noget galt.
Nej. Billederne er eksempler og kan ikke bruges til at stille diagnoser. De viser, hvad man typisk kan se ved ultralyd i forskellige graviditetsuger.
Ja. Ultralyd er en almindeligt anvendt og sikker undersøgelse uden ioniseret stråling. Der er ingen kendte negative effekter ved diagnostisk ultralyd, når det udføres af sundhedsfagligt personale efter kliniske retningslinjer.
Ja. Hvis du har behov for ekstra tryghed eller ønsker at få set, hvordan graviditeten udvikler sig, kan du altid booke en relevant scanning hos os.
Nej. Ultralydsbilleder på denne side er eksempler og kan ikke erstatte en klinisk vurdering eller diagnostisk scanning.
Variation i ultralydsbilleder skyldes fosterstilling, mængden af fostervand, moderkagens placering og graviditetsugen. Selv i samme uge kan to billeder se meget forskellige ud.
Relateret læsning – scanninger i graviditeten
- Hvornår kan man se køn ved scanning?
- Kan man se køn nu?
- Hvad er nub teori?
- Hvorfor kan man ikke altid se kønnet?
- Hvornår kan man se hjerteblink ved scanning?
- Hvornår er det bedst at få 3D/4D-scanning?
- Hvilken scanning skal jeg vælge?
Book: Kønsscanning · Tidlig scanning · Tryghedsscanning · 3D/4D-scanning · Op/ned-scanning
Indholdet her er generel information og kan ikke erstatte en individuel vurdering hos en fagperson.
Fagligt gennemgået af
Solveig Thagaard Pedersen, jordemoder
Autoriseret jordemoder og medstifter af Praksisjordemoder.dk. Uddannet i 2010 og har assisteret ved mere end 500 fødsler. Arbejder med graviditet, fertilitet og kvinders reproduktive sundhed i praksis.
Alexander Tetzlaff, speciallæge i almen medicin
Speciallæge i almen medicin med mere end 14 års erfaring. Har været blandt de første i Danmark til at indføre ultralyd i almen praksis.



