(5+0 til 5+6)
Uge 6 graviditet – hvad sker der nu?
Velkommen til uge 6 i din graviditet! Du er nu omtrent en måned henne, og fostret er vokset fra et blastocyst‑stadie til en lille udviklende struktur med hjerte der begynder at slå i slutningen af denne uge, og begyndende organer. Denne guide fortæller dig præcis, hvad du kan forvente af symptomer, scanninger og gode råd.


Gravid uge 6 – Hjertet slår, organer dannes og ansigtstræk tager form
Embryoets hjerte begynder at slå, først langsomt og i løbet af få dage øges pulsen til omkring 160 slag i minuttet. Dette sker ved overgangen til næste graviditets uge. De første strukturer til ansigt, ører og øjne er ved at tage form. Lunger og fordøjelsessystemet begynder også at udvikle sig. Tarmen inddeles i forskellige sektioner.
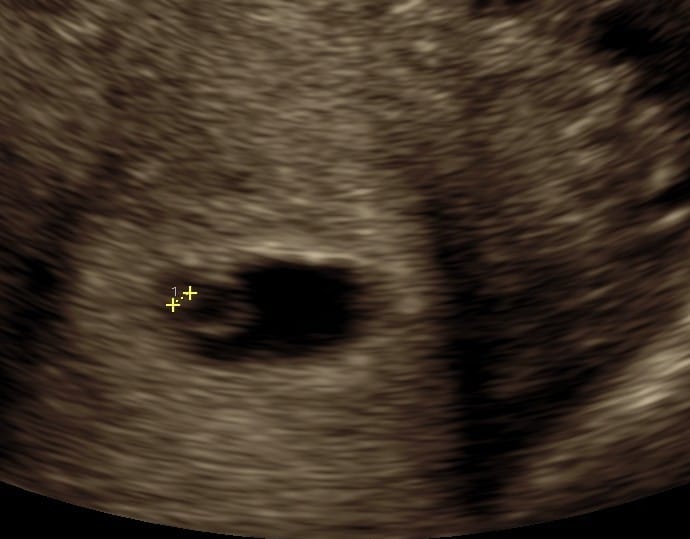
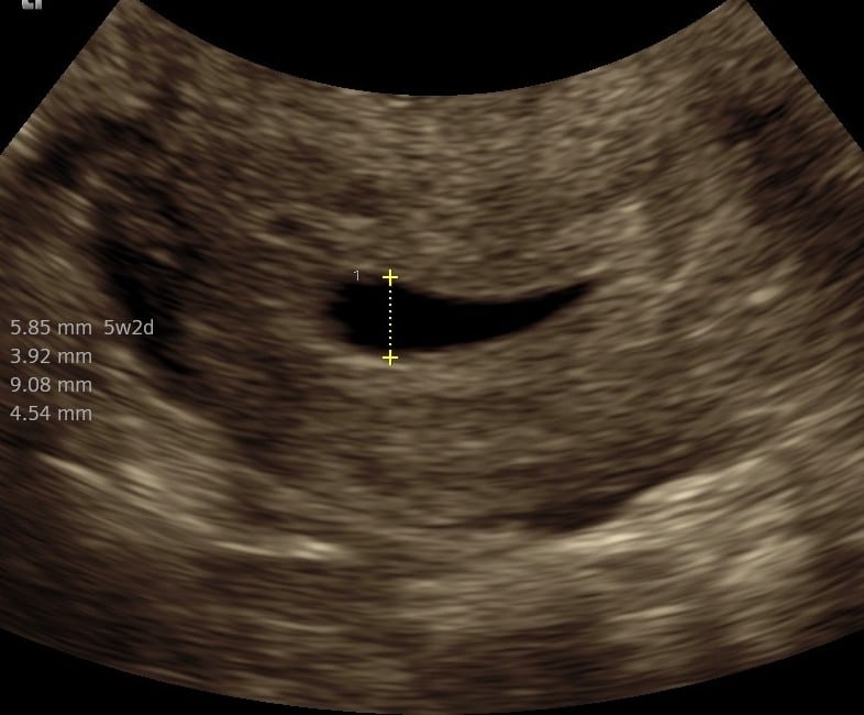
Hvis du får lavet en tidlig scanning, kan man ofte se hjerteslaget. Men med de små naturlige afvigelser der kan være, er det mere sikkert at vente til næste graviditetsuge.
Tabel: Overblik over uge 6 i graviditeten
| Kategori | Information i uge 6 |
|---|---|
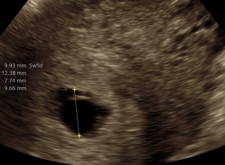
| 🍼 Fosterets størrelse | Ca. 1-4 mm |
| ❤️ Hjerteaktivitet | Hjerte begynder at slå med langsomme slag |
| 🧠 Udvikling | Neuralrøret fortsætter lukningen, de første organer begynder at dannes |
| 🤰 Typiske symptomer | Kvalme, træthed, ømme bryster, humørsvingninger |
| ⚠️ Vigtige tegn | Pletblødning kan være normalt – kontakt ved kraftige smerter |
| 📅 Scanning | Hjerteblink kan ses ved tryghedsscanning fra 6+0 |
| 🍽️ Kostråd | Folinsyre, jern og protein anbefales dagligt |
| 🛌 Velvære | Hvile og ro – lyt til kroppen og reducer stress |






Uge 6: Embryoets Udvikling
I uge 6 af graviditeten sker der virkelig meget spændende inden i din krop!
- Fosteret er ca. 4–6 mm og livmoderen vokser.
- Hjerteblink kan ofte ses ved tidlig tryghedsscanning i 6+0–7+0 uge.
- Neuralrøret lukkes omkring denne tid – følg altid sundhedstyrelsens anvisning om folinsyre.
Gællebuer: Disse strukturer, som ligner små folder på hver side af halsen, vil senere blive til ansigtsstrukturer som kæber, hals og de indre ører.
Hjertebanken: Embryoets hjerte begynder at slå denne uge, hvilket er en stor milepæl. Det slår omkring 110-160 gange i minuttet og begynder at pumpe blod rundt i dets lille krop, hvilket er essentielt for at transportere ilt og næringsstoffer til vævene.
Nervesystemet: Neuralrøret, som vil udvikle sig til hjernen og rygmarven, er nu lukket. Dette er et kritisk skridt i dannelsen af nervesystemet.
Organudvikling: Små knopper, der vil blive til arme og ben, begynder at dukke op. Ørerne og øjnene begynder også at dannes, selvom de stadig er meget primitive. Der er også begyndende dannelse af de vigtigste indre organer som lever, nyrer og lunger.
Hvad sker der i din krop?
Hormonniveauerne stiger kraftigt – især hCG, østrogen og progesteron – hvilket kan føre til tydelige graviditetssymptomer. Mange oplever:
- Træthed
- Ømme og spændte bryster
- Hyppig vandladning
- Humørsvingninger
- Kvalme (med eller uden opkast)
- Murren i underlivet som lige inden menstruation
Det er helt normalt at føle sig både glad og overvældet – din krop arbejder på højtryk.
Samspillet mellem Mor og Embryo i Uge 6
Samspillet mellem din krop og dit embryo er komplekst og fascinerende:
Følelsesmæssig Forbindelse: Uvirkelighed og surrealisme er følelser mange nikker genkendende til. Tiden må gå, og du lærer at man taler om uger og dage når man er gravid, og ikke måneder. Der er ikke noget at se, men alligevel ses verden igennem en ny brille. Mange små ting kan udfordre, hvordan kringler du fødselsdagsfesten hvor du normalt ville drikke alkohol? Ingen kan se det på dig, du bærer på den skønneste hemmelighed, det kan være berusende og bekymrende på samme tid.
Hormonal Kommunikation: Hormoner som hCG, der produceres af moderkagen, signalerer til din krop, at den skal opretholde graviditeten. Dette hormon hæmmer menstruationscyklussen og understøtter livmoderslimhinden, så embryoet kan vokse.
Næringsudveksling: Din moderkage og navlestreng udvikler sig og begynder at fungere som en livline mellem dig og dit embryo. Gennem moderkagen overføres ilt og næringsstoffer fra dit blod til embryoet, mens affaldsprodukter transporteres fra embryoet tilbage til dit blod for at blive udskilt.
Immunologisk Balance: Din krop tilpasser sig også immunologisk for at acceptere embryoet, som genetisk set er halvt fremmed. Dette kræver en fin balance, hvor dit immunsystem beskytter dig mod infektioner uden at angribe embryoet.
Udviklingen af Moderkagen
Implantation (Uge 3-4): Når blastocysten implanterer sig i livmoderslimhinden, begynder det ydre cellelag, kaldet trofoblasten, at danne fingerlignende projektioner kaldet villi, som invaderer livmodervævet. Disse villi vil senere udvikle sig til moderkagen.
Tidlig Placentaudvikling (Uge 4-5): De tidlige villi vokser og danner en primitiv form for moderkage. Blodkar fra moderen begynder at trænge ind i disse villi, og der dannes et netværk af blodkar, som vil blive en del af det placentale kredsløb.
Etablering af Blodudveksling (Uge 5-6): Omkring uge 5-6 begynder de føtale blodkar at dannes inden i villi. På dette tidspunkt begynder moderens blod at strømme tæt omkring villi i rummet kaldet intervilløse rum. Her kan næringsstoffer og ilt diffundere fra moderens blod til de føtale blodkar inde i villi, mens affaldsprodukter diffunderer fra føtale blodkar til moderens blod.
Fuldstændig Placentaudvikling (Uge 8-12): Ved slutningen af første trimester (omkring uge 12) er moderkagen fuldt udviklet og fungerer effektivt som det organ, der udveksler blod mellem mor og barn. Den vokser og modnes fortsat gennem hele graviditeten for at imødekomme den voksende babys behov.
Hvordan Blodudvekslingen Fungerer
Blod fra moderen og fosteret blandes ikke direkte. I stedet sker udvekslingen af gasser, næringsstoffer og affaldsprodukter gennem en tynd barriere i moderkagen, der adskiller de to blodforsyninger:
- Moderens Blod: Strømmer ind i moderkagens intervilløse rum, hvor det omgiver de føtale villi.
- Fosterets Blod: Strømmer gennem blodkar i villi, som er tæt omgivet af moderens blod, men adskilt af en tynd barriere.
Denne mekanisme tillader, at ilt og næringsstoffer fra moderens blod diffunderer ind i føtale blodkar, mens kuldioxid og andre affaldsprodukter fra fosteret diffunderer tilbage til moderens blod for at blive fjernet.
Betydning for Mor og Barn
Denne blodudveksling er afgørende for fosterets overlevelse og vækst. Moderkagen fungerer som en livline, der forsyner fosteret med nødvendige næringsstoffer og ilt og beskytter det ved at fjerne affaldsprodukter og potentielt skadelige stoffer. Den spiller også en vigtig rolle i hormonproduktionen, der understøtter graviditeten.
At forstå, hvordan og hvornår denne blodudveksling finder sted, kan hjælpe med at værdsætte kompleksiteten og betydningen af moderkagen som et vitalt organ under graviditeten.
Råd og Opmærksomhed
- Sund Kost: Spis en varieret og næringsrig kost for at give dit embryo de bedste betingelser for vækst og udvikling. Hvis du er begyndt at få lidt madlede eller kvalme så fokuser på små hyppige måltider. Det kan afhjælpe meget. Sæt dig ind i sundhedsstyrelsens anbefalinger så du undgår de fødevarer der kan skade graviditeten, og ellers er det force majeure så længe der er kvalme. Husk det er vigtigere at få spist end at blive dårlig fordi du prøver at spise efter anbefalingerne. Hop direkte til sundhedsstyrelsens anbefalinger her.
- Fortsæt med graviditets vitaminer: Sørg for at tage dine graviditets vitaminer dagligt, især folsyre, som er afgørende for neuralrørsudviklingen.
- Motion: let aktivitet som gåture og stræk – lyt til din krop.
- Hvile og Omsorg: Lyt til din krop og hvil, når du har brug for det. Træthed er almindelig i første trimester.
- Kontakt straks ved kraftig blødning, kraftige smerter.
Graviditet er en tid fyldt med forandringer og forventning. Hver uge bringer nye udviklinger for både dig og din baby, og det er en fantastisk rejse at følge. Husk at tage dig tid til at passe på dig selv og nyd denne specielle tid. Hvis du har spørgsmål eller bekymringer, er din læge eller jordemoder der for at støtte dig gennem denne vidunderlige proces.
Tryghedsscanning hos Praksisjordemoder
Praksisjordemoders tidlige tryghedsscanning (uger 5+0‑7+0) giver dig muligheden for:
- at bekræfte graviditet i livmoderen,
- at se hjerteblink, fra 6+3
- at få en foreløbig terminsberegning og stille spørgsmål til jordemoderen.
Læs mere om pakker her inkl. uge 6 scanninger scanningspakker eller tidlig tryghedsscanning.
FAQ – uge 6
Hvornår kan man se hjerteblink?
Typisk i uge 6+0 til 7+0 ved tryghedsscanning – se tilbud her
Er blødning i uge 6 normalt?
Let tegnblødning kan forekomme, men kontakt jordemoder ved tvivl.
Kan jeg tage B6-vitamin for kvalme allerede i uge 6?
Let tegnblødning kan forekomme, men kontakt jordemoder ved tvivl.
Hvornår bør jeg fortælle andre om graviditeten?
Enkelte kvinder oplever lindring med B6 vitamintilskud (ofte 60 mg/dag) ved aftale med læge – husk at følge autoriseret rådgivning
Hvornår får man de første graviditetsscanninger under graviditeten?
I danmark tilbydes der to scanninger i løbet af graviditeten. Den første er en nakkefoldsscanning i uge 11-14, og den anden er en misdannelsesscanning i uge 18-22. Man kan vælge at tilkøbe flere scanninger selv. Det er ikke dækket af sygesikringen. Hvis der er komplikationer bliver du fulgt tættere på hospitalet uden at skulle betale for det. Se hvilke scanninger vi tilbyder her: Graviditetsscanninger
Hvad kan man se ved graviditetsscanninger?
Ved en graviditetsscanning kan man blandt andet se, hvor langt henne graviditeten er, om der er liv, antallet af fostre og hvordan fosterets organer og vækst udvikler sig. Senere i graviditeten kan man også se barnets køn, hvis man ønsker det.
Er graviditetsscanninger farlige for barnet?
Nej, graviditetsscanninger er ikke farlige for barnet. Ultralyd er en sikker og smertefri metode, der har været brugt i mange år til at følge graviditeter tæt og trygt.
Hvornår skal jeg kontakte jordemoder?
Ved kraftig blødning, ingen hjerteblink ved forventet tidspunkt eller voldsom smerte.
Fagligt gennemgået af
Solveig Thagaard Pedersen, jordemoder
Autoriseret jordemoder og medstifter af Praksisjordemoder.dk. Uddannet i 2010 og har assisteret ved mere end 500 fødsler. Arbejder med graviditet, fertilitet og kvinders reproduktive sundhed i praksis.
Alexander Tetzlaff, speciallæge i almen medicin
Speciallæge i almen medicin med mere end 14 års erfaring. Har været blandt de første i Danmark til at indføre ultralyd i almen praksis.
Relevante links
Overvejer du scanning i din graviditet?
Ønsker du ekstra tryghed eller en konkret vurdering i din graviditetsuge, kan du læse mere om vores scanninger her:
Læs mere om graviditet
Uddybende artikler om symptomer, kroppen og gode råd i graviditeten.


