

Tryghedsscanning i Nordsjælland – fra uge 14+0
For gravide i Nordsjælland tilbyder vi tryghedsscanning i Hillerød. Et ekstra kig med fokus på ro, trivsel og gennemgang – uden henvisning.
Tip: Se også op-/ned-scanning senere i graviditeten.
Mange gravide fra Nordsjælland oplever, at der kan være lang tid mellem de planlagte scanninger i det offentlige system. En tryghedsscanning kan give overblik og ro i perioden mellem kontrollerne.
De fleste fra Nordsjælland vælger klinikken i Hillerød på grund af den centrale placering og gratis parkering. Du kan også vælge København, hvis det passer bedre.
Hvor foregår tryghedsscanning for kunder fra Nordsjælland?
Tryghedsscanning tilbydes hos:
Hillerød – Centrumlægerne
Søndre Jernbanevej 4B
3400 Hillerød
👉 Se klinikken på Google Maps:
Du kan også vælge København, hvis det er mest praktisk.
Vil du læse mere om selve tryghedsscanningen? Se hovedsiden – eller vælg en af vores andre lokationer herunder.
Se også hvad tryghedsscanning er og oversigten over graviditetsscanninger .
Hvor foregår tryghedsscanning i Nordsjælland?
Tryghedsscanning for kunder fra Nordsjælland tilbydes hos:
PraksisJordemoder – Hos Centrumlægerne (Hillerød)
Søndre Jernbanevej 4B
3400 Hillerød
Tlf. 4826 8020
👉 Se på Google Maps
Mange fra Nordsjælland vælger Hillerød, fordi det er nemt at komme til, og der er gratis parkering ved klinikken. Kom gerne 5–10 minutter før din tid, så du kan lande roligt.
Hvornår giver en tryghedsscanning mening?
En tryghedsscanning kan være relevant, hvis du:
- ønsker ekstra bekræftelse mellem de offentlige scanninger
- oplever bekymring eller uro
- gerne vil se baby igen og få en grundig gennemgang
- vil tage familie eller partner med til en rolig oplevelse
Den erstatter ikke nakkefoldsscanning eller misdannelsesscanning.
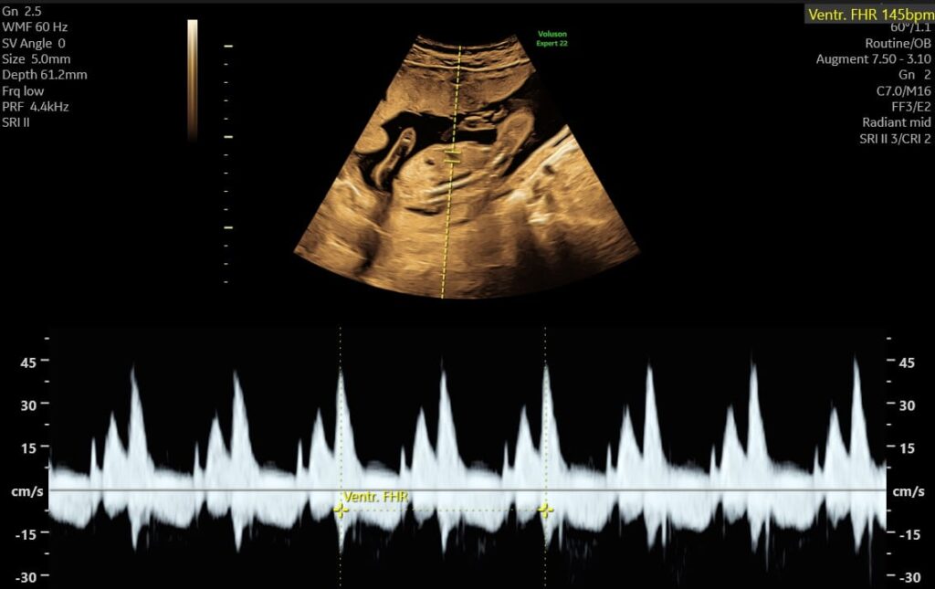
Hvad ser vi ved en tryghedsscanning?
Ved en tryghedsscanning fra uge 14+0 vurderer vi blandt andet:
- hjerteaktivitet
- bevægelser
- fostervand
- moderkagens placering
- generel trivsel
Ønsker du at få vurderet kønnet, kan du læse om: Kønsscanning
Senere i graviditeten kan du også vælge 3D/4D scanning eller op-eller-ned scanning.
Hvordan foregår scanningen?
Tryghedsscanning foregår som en udvendig ultralydsscanning på maven. Vi guider jer undervejs og forklarer, hvad vi ser, så I får en rolig og forståelig gennemgang. Der er tid til spørgsmål, og vi fortæller altid, hvad der er normalt – og hvad der eventuelt bør vurderes videre.
Er du i tvivl om, hvilken scanning der passer bedst til dig, kan du bruge guiden her: vælg scanning
Pris og booking
Pris: 445 kr.
395 kr., hvis du tidligere er blevet scannet hos os.
Varighed: ca. 15 minutter.
Se også overblik over alle scanninger: Graviditetsscanninger
Er du i tvivl om, hvad man kan se ved ultralyd på forskellige tidspunkter i graviditeten?
Se vores gennemgang af ultralyd uge for uge →
Du finder yderligere information om termin og fremtidige scanninger på siden Beregn din termin.
Relaterede artikler: Hjælp til at vælge | Scanningspakker | Tidlig scanning | Kønsscanning | 3D/4D scanning | Op eller ned scanning | Beregn din termin | Graviditet uge for uge
Tryghedsscanning fra 14+0
Pris: 445 kr.
395 kr., hvis du tidligere er blevet scannet hos os (uanset type).
Hvad følger med?
Hvad følger ikke med?
Hvad kan tilvælges?
Information
Du kan få tryghedsscanning fra uge 14+0 og helt frem til fødslen. Er du før uge 14+0, anbefaler vi en tidlig scanning.
Ja. Ultralyd er en sikker og almindeligt anvendt undersøgelse i graviditeten, når den udføres af sundhedsfagligt personale.
Mange vælger det som et ekstra tjek mellem de offentlige scanninger – og fordi Hillerød er nemt at komme til med gratis parkering.
Vi vurderer bl.a. hjerteaktivitet, bevægelse, fostervandsmængde, moderkagens placering og generelle trivselstegn.
Nej. Fokus er trivsel og udvikling. Ønsker I kønsvurdering, anbefaler vi en specifik kønsscanning.
Tidlig scanning bruges typisk til at bekræfte graviditet, hjerteaktivitet og termin. Tryghedsscanning laves fra uge 14+0 og bruges ofte som ekstra tjek mellem de offentlige scanninger.
Selve scanningen tager typisk omkring 15 minutter, og der er tid til gennemgang og spørgsmål.
Hvis vi ser noget, der bør vurderes nærmere, rådgiver vi jer om næste skridt og hjælper med videre plan – fx kontrol eller hospital, hvis relevant.
Scanningsmetode
Vi scanner dig fra maven med opvarmet ultralydsgel for en behagelig oplevelse.
Ekstra muligheder
Du kan tilkøbe sort/hvid billeder til 20,- pr stk. Du kan også tage billeder af skærmen og filme små klip.












Overvejer du scanning i din graviditet?
Ønsker du ekstra tryghed eller en konkret vurdering i din graviditetsuge, kan du læse mere om vores scanninger her:
Din graviditet uge for uge
Din graviditet Uge 1–2 | Din graviditet Uge 3 | Din graviditet Uge 4 | Din graviditet Uge 5 | Din graviditet Uge 6 | Din graviditet Uge 7 | Din graviditet Uge 8 | Din graviditet Uge 9 | Din graviditet Uge 10 | Din graviditet Uge 11 | Din graviditet Uge 12 | Din graviditet Uge 13 | Din graviditet Uge 14 | Din graviditet Uge 15 | Din graviditet Uge 16 | Din graviditet Uge 17 | Din graviditet Uge 18 | Din graviditet Uge 19 | Din graviditet Uge 20 | Din graviditet Uge 21 | Din graviditet Uge 22 | Din graviditet Uge 23 | Din graviditet Uge 24 | Din graviditet Uge 25 | Din graviditet Uge 26 | Din graviditet Uge 27 | Din graviditet Uge 28 | Din graviditet Uge 29 | Din graviditet Uge 30 | Din graviditet Uge 31 | Din graviditet Uge 32 | Din graviditet Uge 33 | Din graviditet Uge 34 | Din graviditet Uge 35 | Din graviditet Uge 36 | Din graviditet Uge 37 | Din graviditet Uge 38 | Din graviditet Uge 39 | Din graviditet Uge 40
Læs mere om graviditet
Uddybende artikler om symptomer, kroppen og gode råd i graviditeten.


